公众版
员工版
互联网医院
English
医院首页
医院概况
新闻中心
就诊指南
科室专家
护理天地
健康科普
互联网医院
 
您当前的位置 : 天津市肿瘤医院  >  临床科室  >  脑系肿瘤科  >  学科动态
 
射波刀治疗神经系统肿瘤
 时间: 2012-02-15  来源: 
 
  

  射波刀是一种用于全身各部位肿瘤立体定向放射手术治疗的专用设备,它在智能影像引导下,利用机器人手臂将多束高能射线精确、无创地消灭肿瘤。多条射线束聚焦在病变区造成很高剂量照射,而对邻近正常组织得以保护不受明显损害,通过1-5次的治疗,达到摧毁肿瘤的效果。是唯一综合“无伤口、无痛苦、无流血、无麻醉、恢复期短”等优势的全身放射手术形式。

  射波刀放射外科的准确率在1.0mm(毫米)左右,如此精确的照射在脑肿瘤的治疗中更能发挥优势,特别是对于重要结构附近、形状复杂的肿瘤治疗。这种功能特点使其应用于被认为不能够手术、或其他放射治疗不能够治疗的脑肿瘤——给许多病人带来新的希望,也对一些能够手术的早期患者提供了另外一种无需开刀而达到根治的治疗选择。

  射波刀治疗脑肿瘤的适应症包括:

  1、颅内血管畸形:射波刀主要用于治疗脑动静脉畸形(AVM)和海绵状血管瘤。

  2、.听神经瘤:中小型听神经瘤(直径<3cm)可首选射波刀治疗,手术后残留或术后复发听神经瘤也是射波刀治疗的良好适应证。部分大型听神经瘤(直径>30mm)患者,如果高龄或有手术禁忌证时仍可考虑射波刀治疗。

  3、脑膜瘤:小型脑膜瘤、手术后残留或复发脑膜瘤以及海绵窦、颅底等部位的中小型脑膜瘤均是射波刀治疗的良好适应证。部分术后残留的大型脑膜瘤仍可射波刀治疗。

  4、垂体瘤:小型垂体瘤离开视神经、视交叉、视束的距离大于3mm均可射波刀治疗。手术后残留垂体瘤,特别是肿瘤位于海绵窦或紧贴视神经也是射波刀的良好适应证。

  5、三叉神经鞘瘤:中小型三叉神经鞘瘤和部分大型三叉神经鞘瘤。

  6、脊索瘤:中小型、部分大型脊索瘤及术后残留复发脊索瘤均可射波刀治疗。

  7、血管母细胞瘤:小型血管母细胞瘤及术后残留和复发者。

  8、颅内转移瘤:颅内单发(肿瘤直径<3.5cm)或数个中小型多发转移灶(一般情况下病灶数<5个,少数情况下可多于5个),颅内压增高症状不严重时,均可行射波刀治疗。

  9、胶质瘤:(1)恶性胶质瘤手术后放疗,联合射波刀加量治疗;〔2〕复发胶质瘤的射波刀治疗;(3)低度恶性胶质瘤或偏良性胶质瘤的射波刀治疗,小的低度恶性胶质瘤如星形细胞瘤I级、室管膜下室管膜瘤或偏良性胶质瘤如毛细胞型星形细胞瘤、室管膜下巨细胞型星形细胞瘤、中央神经细胞瘤以及脑干内边界清楚小的胶质瘤均可尝试首选射波刀治疗。

  10、颅咽管瘤:术后残留或复发的颅咽管瘤

  11、松果体区肿瘤

  12、颈静脉孔区肿瘤(颈静脉球瘤和神经鞘瘤)

  13、鼻咽癌颅底转移等

  14、颅内其他小型肿瘤

  天津医科大学附属肿瘤医院于2006年在全国最早引进射波刀,在脑系肿瘤科王晓光教授的主持下将射波刀应用于脑肿瘤的治疗,到目前为止累计治疗各类脑肿瘤2000多例,总肿瘤控制率达到95%以上,为众多患者无痛苦的解除了肿瘤的威胁。王晓光教授指出:射波刀最大的优势就是精准,可以精确到一个毫米之内,在这样的技术支持下肿瘤区域的照射计量可以给的很高,确保肿瘤坏死,治疗区域以外的正常结构可以被保护得很好。另一方面射波刀治疗前无需患者像伽马刀那样带上笨重的头架定位,真正做到了治疗全程无一点痛苦。

  在王晓光教授的带领下,天津医科大学附属肿瘤医院构架起以脑系肿瘤科与射波刀治疗中心为基础的射波刀治疗团队。有先进的治疗理念为依托,丰富的治疗经验为保障,射波刀会为更多的脑肿瘤患者无痛苦的解除病患。

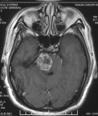
  天幕脑膜瘤:

  治疗前

  治疗后

          脑干胶质瘤:

  治疗前

  治疗后

          视交叉胶质瘤:

  治疗前

  治疗后

 
 
 
 
法律声明 | 联系我们
Copyright @ 2005 Tianjin Medical University Cancer Institute and Hospital. All rights reserved.
天津市肿瘤医院(天津医科大学肿瘤医院) 版权所有 津教备0005号 津ICP备05002861号
中文域名:天津市肿瘤医院.公益 天津医科大学肿瘤医院.公益